How To Get Rid of Dental Calculus At Home Naturally




How To Get Rid of Dental Calculus At Home Naturally

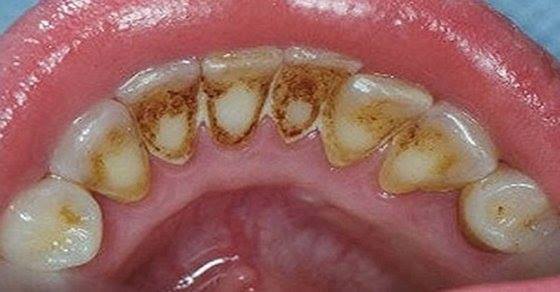
This home remedy on How To Get Rid of Dental Calculus At Home Naturally will be a gonna-try if you have the unpleasant yellow tartar on teeth, which arises from the deposition of bacteria and causes inflammation of the gums, even you brush and floss your teeth twice a day to remove plaque so it doesn’t turn into tartar. read more here> fabartdiy.com