New Discovery by Dr.Jeremy: How To Regrow Teeth In Your Mouth In 9 Weeks!




New Discovery by Dr.Jeremy: How To Regrow Teeth In Your Mouth In 9 Weeks!

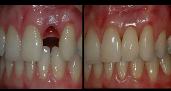
According to a recent study conducted by Dr. Jeremy Mao from Columbia University, teeth can be regenerated by using the stem cells of the patient. read more here > foodandourhealth.com